Tele Consultation
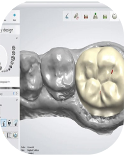
Digital Impressions
Digital Radiography
Precision Manufacturing
Continuous Digital Monitoring